Szeretné visszakapni korábbi szép, és egészséges mosolyát? Szeretné megszűntetni a foghiánnyal járó esztétikai és funkcionális problémákat?
A tartós foghiány önbizalom csökkenéshez vezet, nem megfelelő rágáshoz, az ételek élvezetének hiányához, és a kényelmetlenség érzetével párosulva, sőt az általános megjelenést is rontva, tartósan is rosszkedvűvé teheti az embert.
A fenti problémákat a hagyományos fogpótlás keretein belül nem mindig tudjuk 100 százalékos hatékonysággal és végérvényesen megoldani. Az ilyen esetekben az elérhető legjobb megoldás a fogászati implantátumok alkalmazása, melyeknek bizonyított tudományos háttere és elfogadott módszertana van a fogorvostudományon, szájsebészeten belül. A kitűnő minőségű implantátumok, és az alkalmazott sebészeti eljárások révén az implantációk manapság rutin beavatkozásnak számítanak.
Ez a korszerű fogpótlástani eljárás, a tartós foghiányt hivatott megszűntetni egy mesterséges gyökér, az implantátum segítségével. Az implantátum testére a gyógyulás után a felépítmény segítségével ráhelyezett végleges korona vagy híd által, a teljes implantátum ugyanolyan erős, használható és természetesen szép, mint a saját fogaink.
Implantáció céljai
- A rágóképesség helyreállítása, javítása
- Az esztétikai megjelenés helyreállítása, javítása
- A hangképzés helyreállítása, javítása
- A természetes kemény fogszövetek megőrzése, a foghiányt határoló fogak épségének megtartása
- Az anatómiai struktúrák megőrzése (az állcsontgerinc sorvadás lassítása, harapási nehézség és helytelen terhelés megelőzése)
- A kockázatos (túl nagy kompromisszumot igénylő) rögzített protézisek elkerülése (nagy fesztávú hidak, lengő hidak)
- A fájdalom, illetve kényelmetlenség érzés csökkentése és megszüntetése

Mi is pontosan az implantátum?

A fogászati implantátum egy tiszta, magas minőségű titánból készült mesterséges gyökér az állcsontba helyezve, amely sziklaszilárdan tartja a fogat vagy fogakat. Belseje üreges és az implantátum begyógyulása után ebbe az üreges részbe lehet belecsavarni az implantátum felépítményt vagy fejet.
Ez a felépítmény rész lesz az, amely már kiemelkedik a csont felszínéből, illetve az ínyből is. Ez még nem maga a korona. Olyan, mint egy lecsiszolt természetes fog, amire koronát tesznek, tehát úgy néz ki, mint egy fogcsonk.
Az implantátum felépítmény része készülhet titánból és fémmenetes cirkóniumból egyaránt. Ezek alkalmazása attól függ, hogy az adott fog hol helyezkedik el. A frontfogak esetében például mindenképpen javasolt esztétikai megfontolásból cirkónium felépítményt alkalmazni, míg egy rágózónában inkább a titánium felépítmény a javasolt.
Mindkét felépítmény típus terhelhetősége kiváló. A kettő között elsősorban esztétikai különbség van. Végezetül erre a felépítményre kerül rá a korona vagy a híd, amivel a fogpótlás véglegessé válik. Ez a korona ideális esetben természethű zirkonkerámia, összhangban az implantátum kitűnő minőségével, de ugyanúgy lehet fémkerámia korona is.
Miből készülnek az implantátumok?
Manapság tiszta, kiváló minőségű titánból készülnek, és teljes mértékben képesek helyettesíteni a valódi fog gyökerét. A titán, a súlyához képest rendkívül erős és biokompatibilis anyag, azaz az emberi szervezet teljes mértékben befogadja, mindenféle szöveti reakciónak ellenáll, semmilyen szervezeti károsodáshoz nem vezet a használata, sem helyileg, sem az immunrendszerben.

Milyen esetekben javasolt az implantáció?
Általánosságban az alábbi esetek bármelyikében tökéletes megoldásként alkalmazható:
- Részlegesen vagy teljesen foghiányos betegek rehabilitációja (rövid sorközi hiány, sorvégi vagy hosszú sorközi hiány, részleges fogatlanság, illetve teljes fogatlanság esetei)
- Fogak veleszületett hiánya vagy kis száma
- Trauma következtében kialakult foghiány
- Esztétikai hiányosságok
- Az állcsontgerinc kifejezett sorvadása, a protézis nem megfelelő stabilitása
Foghiányos állapot esetén a következő implantációs megoldásokról beszélhetünk:
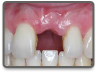
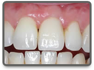
Egy-egy hiányzó fog teljes értékű pótlása esetén
A hagyományos fogpótlás során egy fog pótlásakor a mellette lévő fogakat is le kell csiszolni, mivel az a két fog tartja a fogpótlást. Más szóval kifejezve, egyetlen fog pótlásához, ha nincs szerencsénk, akkor két, akár egészséges fogat is fel kell „áldozni”. Implantáció esetén viszont az elveszített fog helyére így már egy implantátum kerül, amire rákerülhet a megfelelő korona. Ezáltal oly módon tehető teljessé újra a fogív, hogy egyetlen meglévő és akár egészséges fog sem sérül.
Sorvégi hiányzó fogak pótlása esetén
Sorvégi hiányról akkor beszélünk, mikor a páciensnek hátsó fogai hiányoznak és csak az elsők vannak meg. Ezek azok az esetek, amikor amúgy csak kivehető fogpótlás lenne készíthető. Ezért a rögzített fogpótlás lehetőségét nyújtó implantációs fogpótlás mindenképpen előnyösebb, hiszen általa lehetővé válik akár több tagból álló híd készítése, rögzített módon.
Teljes fogatlanság esetén: a meglevő csontkínálattól függően ültethetünk be implantátumokat.
Teljes fogazat rögzített fogpótlással történő pótlása: Ha lehetőség van rá, lehetséges és javasolt is, és ilyenkor fix fogpótlás, azaz híd fogja pótolni az egész fogazatot. Így aki nem szeretne kivehető fogpótlást, annak rögzített körhíd készítése a javasolt. Ehhez 6 – 8 fog beültetésére van szükség, mely révén tökéletes stabilitás biztosítható a körhíd számára. Ma már olyan felépítmények készíthetők, melyek lehetővé teszik, hogy teljes foghiány esetén is gyönyörű fogsort kapjon a páciens, és amely cseppet sem természetellenes, és a legjobban hasonlít az eredeti fogakhoz. Mivel a fogbeültetés révén a körhíd teljesen stabil és terhelhető, ezért funkcionálisan is a valódi fogak értékével bír a teljes implantátum felépítmény.
Implantátumon rögzített teljes kivehető fogsor: Ez két vagy négy implantátumon fixált teljes kivehető fogsor, amelynek viselése nyilvánvalóan sokkal elviselhetőbb, kedvezőbb, mint egy rögzítés nélküli teljes kivehető protézisé. Rágás- és beszéd szempontjából semmilyen hátrány nem éri a pácienst, a kivehető fogpótlást csak akkor kell eltávolítani, amikor a protézis alatti rész tisztítása esedékessé válik. A fogbeültetés révén stabilabb elhorgonyzást kap a kivehető fogpótlás Ez jelentős életminőség javulást okoz a teljes foghiánnyal küzdő páciensek számára.
Lehetséges a kivehető és a fix fogpótlás kombinációja is.
A megoldási módokat mindig személyre szabottan kell megtervezni és kivitelezni.

rögzített körhíd
stéges fogsor:
Teljes foghiány esetén nagyszerű megoldás az alsó/felső állcsontba helyezett négy darab implantátumra rögzített, ugyanakkor kivehető fogmű

kivehető fogsorokhoz mini implantátum:
Ez csak fogsor rögzítésére alkalmas, azonban nem kell feltétlen új fogsor, az esetek jelentős részében a régi fogsor is felhasználható. Mini implantátum esetén a fogsor belsejére rögzítő betétek kerülnek, amelyek annak a gömbszerű fejrészére csatlakoznak.
Melyek az implantátumok főbb előnyei?
- A legnagyobb előnye, hogy akkor is lehet rögzített fogpótlást készíteni, amikor egyébként csak kivehető pótlás készíthető
- A kivehető pótlások stabilitása, és ezzel a komfortérzet, lényegesen növelhető fogbeültetések segítségével
- Viszonylag ép fogazat esetén egy-két hiányzó fog pótlásához nem szükséges a szomszédos ép fogakat lecsiszolni
- A legtöbb esetben tökéletesen esztétikus megoldások készíthetőek fogászati implantátumok segítségével
- Lassítja vagy megakadályozza a fogatlan állcsont sorvadását
- A fogbeültetések több mint 98%-a sikeres
- Fogbeültetést a csontnövekedés lezárulását követően bármely életkorban lehet készíteni
- Fogatlanság esetén már kisszámú implantátum beültetésével is olyan fogpótlást készíthet a fogorvos, amely nem mozdul el beszéd vagy rágás közben, és nem kelt műfogsor érzetet
- Újra élvezni tudja az ételek ízét és a rágás örömét
Ki végzi az implantációt?
Több fogászati terület is érintett benne. Magát az implantátumot szájsebész szakorvos helyezi be az állcsontba, míg a fogorvosaink készítik rá a koronákat, hidakat.
Bárki számára lehetséges az implantáció?
Általánosságban elmondható, hogy bárki, aki elég egészséges ahhoz, hogy egy rutin foghúzás, vagy szájsebészeti beavatkozás alanya legyen, az választhatja az implantációt. A páciens kell, hogy rendelkezzen egészséges ínnyel, megfelelő szájhigiéniával, és szükséges mennyiségű csontozattal az implantációhoz. A megelőző vizsgálatok és konzultáció során a fogorvosaink, szájsebészünk tájékoztatja a pácienst az alkalmazható kezelésekről, a szájsebészeti eljárásról és az ezt követő fogpótlási lehetőségekről.
Vannak azonban implantációt kizáró tényezők is:
- Vérképzőszervi, véralvadási zavarok
- Súlyos cukorbetegség
- Vérzékenységi zavarok
- Csontokkal, anyagcserével, immunrendszerrel összefüggő súlyos állapot vagy nem kezelt betegség
- Bizonyos gyógyszerek szedése (csontritkulás kialakulásának megelőzésére vagy kezelésére adott gyógyszerek, úgynevezett bisphosphonatok)
- Sugárterápia (állcsontok besugárzása után min. 2 évig)
- Erős dohányzás
- Rossz szájhigiénia
Összefoglalóan tehát, hogy az implantáció, azaz a fogbeültetés elvégezhető-e, kizárólag a páciens alapos vizsgálata után dönthető el.
Mi az arcüreg emelés vagy sinus lift?
Az implantáció egyik előfeltétele, hogy elegendő mennyiségű csontozat álljon rendelkezésre. Ha nincs meg a szükséges mértékű egészséges csontozat, akkor jöhet szóba az arcüreg emelés felső állcsont esetén. A beavatkozás célja, hogy az arcüreg és a felső állcsont közé megfelelő mennyiségű csontot ültessenek be mesterségesen. Ahhoz azonban, hogy a beültetendő csontállománynak legyen elegendő helye, az arcüreg vékony hártyájának megemelésére van szükség. Tehát, ha a felső állcsont nem elég magas, vagy az arcüreg van túl közel a felső állcsonthoz, akkor van az arcüreg emelésnek létjogosultsága.
Ennél a szájsebészeti beavatkozás során a felső állcsont csontállományát mesterségesen megvastagítjuk, így a beültetendő műgyökér, sikeresen be tud csontosodni.
Jár-e az implantáció fájdalommal?
A páciens a beavatkozás közben semmilyen fájdalmat nem érez. A legtöbben, teljes mértékben meglepődnek a beavatkozás fájdalommentességén, mert sokkal rosszabbra számítanak. A korszerű helyi érzéstelenítőknek köszönhetően azonban már egy kis mennyiség is elegendő a teljes fájdalommentességhez, így a szervezetét sem terheli túl. Egyéni érzékenységek azonban elenyésző számban itt is előfordulhatnak, de azok is sikeresen kezelhetőek további fájdalomcsökkentővel.
Hogy néz ki az implantáció folyamata?



A beavatkozás előtt mindenképpen szükséges egy friss röntgenfelvételt készíteni, amely pontos képet nyújt arról, hogy milyen minőségű az Ön csontszerkezete és hogy milyen fogpozíciókba lehetséges az implantátumok beültetése. Ezt követően az implantátumok beültetése helyi érzéstelenítésben történik, ezért fájdalomérzettel nem jár. Fogbeültetésen átesett páciensek döntő többsége adott hangot annak, hogy a fogbeültetés számára olyan volt, akár egy egyszerű fogtömés.
Miután Ön megkapta az érzéstelenítőt és annak hatása már érvényesül, szájsebészünk egy speciális sebészeti készülékkel elkészíti a mesterséges foggyökér helyét és rögzíti az előre megtervezett méretű implantátumot a csontba. Az előkészített helyekre behelyezi a tervezett vastagságú és hosszúságú implantátumokat és zárócsavarral biztosítja azok sterilitását.
Mivel az implantátumot az ínyvonal alatti területre ültetik be, ezért a fertőzések elkerülése érdekében az ínyt, az implantátum felett összevarrják. Szükség esetén antibiotikum vagy fájdalomcsillapító is felírható.
Mennyi ideig tart a teljes implantációs műtét?
Ez egyértelműen az implantátumok számától függ, illetve attól, hogy szükség van-e arcüreg emelésre is. Általában ha egy fogról van szó, akkor 20-30 perccel lehet számolni.
Az implantációt követően fog nélkül marad?
Amennyiben az implantátum a front részét érinti a szájnak, akkor egy ideiglenes koronát, vagy hidat készítünk, hogy ne maradjon fog nélkül.
Mi történik az implantációs műtétet követően?
Gyógyulási szakasz
A műtét után 7-10 nappal már a gyógyulási szakaszban kivesszük a varratokat.
A fogbeültető műtétet tehát a gyógyulási periódus követi, aminek az a célja, hogy a beültetett implantátum megfelelő stabilitásra tegyen szert, azaz a csont körbenője azt. Ez a periódus 3-6 hónapig tart az Ön csontminőségének és általános egészségügyi állapotának függvényében.
Ez idő alatt, ha szükséges (leginkább frontfogak esetében) Ön egy ideiglenes koronát vagy hidat kap, amelynek az a sajátossága, hogy nem kerül terhelésre, így zavartalanul biztosítja a teljes gyógyulási folyamatot, de esztétikai megoldásával olyan, mintha már a kész fogai lennének azok. Ideiglenes, amely nem terheli az implantátumokat, éppen ezért az csak korlátozottan tehető ki erőteljes megpróbáltatásnak. Természetesen az ideiglenes fogpótlásával is étkezhet, de csak kellő odafigyeléssel és a kemény ételek (kenyérhéj, csontos ételek, csonthéjak magvak) elkerülésével.
A gyógyulási periódus végén ellenőrizzük, hogy a gyógyulási folyamat rendben lezajlott-e és ha mindent rendben találtunk, akkor Ön megkaphatja végleges, esztétikus implantációs fogpótlását.
A gyógyulási folyamat utáni lépések
A felépítmény csatlakoztatása
A csontosodás után, amikor az implantátum már megbízhatóan rögzült, a fej belekerül az implantátumba. Ekkor készítik elő a terepet a fogorvosaink a koronához. Ilyenkor vesznek lenyomatot a fogsorról, ekkor választják ki a fogsor színéhez igazodó árnyalatot, hogy a végső összkép megkülönbözhetetlen legyen az eredeti fogtól.
Próba és felhelyezés
Amikor elkészült a korona, amely formájában és színében teljesen illeszkedik a fogsorhoz, fogorvosaink szépen a helyére illesztik.


Tanácsadás
Fontos része az implantációs eljárásnak, hogy a végén szakszerű tanácsokat adunk betegeinknek arról, hogyan ápolják újonnan kapott műfogukat. Ennek hiányában ugyanis nem lehet garantálni azt, hogy az implantátum hosszú-hosszú éveken át sikeresen ellátja funkcióját.
Félévente kontroll
Szintén elhagyhatatlan része az implantációs kezelésnek a félévenkénti ellenőrzés. Mivel problémamentes fogak esetén is kívánatos félévente felkeresni a fogorvosunkat, ez nem is jelent különösebb extra fáradozást, csak annyit, amennyit amúgy is érdemes megtennünk.
Mennyire sikeresek az implantátumok?
A szájsebész szakemberrel végzett beavatkozások több, mint 98%-a sikeres!
Általában az implantációs, műtéti beavatkozás helyi érzéstelenítésben történik, így esetleges szövődménye pontosan olyan lehet, mint bármelyik érzéstelenítésnek. Megfelelő körültekintéssel az ilyen jellegű problémák természetesen kivédhetők.
Ritkább esetben a műtéti beavatkozás során előfordulhat a környező képletek sérülése (pl.: idegsérülés, arcüreg megnyitás), ám a gondos körültekintés és tervezés, valamint a kiváló műtéti technika esetén ennek kockázata szinte minimális. Szerencsére az implantátum kilökődése a legritkább esetben, maximum 2%-ban fordul csupán elő. A rendszeres ellenőrzés valamint a jó szájhigiénia esetén ennek esélye elenyésző.
Hogyan történik az implantátumok tisztítása?
A legfontosabb, hogy fokozottan figyeljen szájhigiéniájára. Speciális eszközök használata elengedhetetlen, melyekről a fogorvosaink és szájsebészünk adnak felvilágosítást.
Ilyen speciális eszközök:
- fogköztisztító kefe
- Super-floss
A fogorvos az átadásakor megmutatja és el is magyarázza a helyes fogmosási technikát és a fenti eszközök használatát.
Annak érdekében, hogy a fogpótlás minél hosszabb ideig működjön, illetve azért, hogy a garancia ne vesszen el, 6-12 havonta célszerű fogászati ellenőrzésen részt venni és a fogorvos ilyenkor ellenőrzi az implantátumokat. Javasolt továbbá szakszerű fogtisztítást is végezni, amivel a fogorvos a szilárd lerakódásokat is eltávolítja.
Az implantációs fogpótlás hosszú távú sikere, nagymértékben függ Öntől, vagyis attól, hogy a mennyire tartja be a megfelelő és alapos szájhigiénia és szájápolás szabályait és a rendszeres ellenőriztetést.